Lisfranc Injury : Lisfranc Midfoot Injury Orthoinfo Aaos

Lisfranc Injury : Lisfranc Midfoot Injury Orthoinfo Aaos. Wherever you are in your recovery, this is a place to share our stories, pics. A lisfranc joint injury happens when you damage bones or connective tissue called ligaments in the middle part of your foot. What is a lisfranc injury? A lisfranc injury is a tarsometatarsal fracture dislocation characterized by traumatic disruption between the articulation of the medial cuneiform and base of the second metatarsal. A lisfranc injury or lisfranc sprain is an injury to the ligaments in the middle part of the foot, called the midfoot.

It is possible to sprain the lisfranc ligament, which does not require surgical intervention. A lisfranc injury, also known as a lisfranc fracture, happens when bones break or ligaments tear in the region in the middle of the feet. Sometimes, the injury is a simple dislocation (ligament injury), and sometimes a broken bone occurs. Partial ligament tears with no instability normal lisfranc. A lisfranc injury or lisfranc sprain is an injury to the ligaments in the middle part of the foot, called the midfoot.

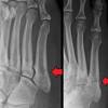
Lisfranc Midfoot Injury Orthoinfo Aaos
Lisfranc Midfoot Injury Orthoinfo Aaos from orthoinfo.aaos.org
Lisfranc injuries are a spectrum of injuries to the tarsometatarsal joint complex of the midfoot. Lisfranc was a napoleanic general in the cavalry. The injury is named after jacques lisfranc de st. An untreated lisfranc injury can lead to serious complications. A lisfranc injury, also known as a lisfranc fracture, happens when bones break or ligaments tear in the region in the middle of the feet. Lisfranc injury is an important topic. Admin , dieter schuddinck , adam west , jan de backer , kim jackson , rachael lowe , lynn leemans , celine de wolf , simisola ajeyalemi , adam vallely farrell , amanda ager , wikisysop , leana louw and wanda van niekerk. Learn vocabulary, terms and more with flashcards, games and other moi for lisfranc injuries?

Lisfranc injuries can be minor:

Lisfranc injury is an important topic. What is a lisfranc injury? Lisfranc injuries in the athlete. Sometimes, the injury is a simple dislocation (ligament injury), and sometimes a broken bone occurs. It is possible to sprain the lisfranc ligament, which does not require surgical intervention. Recovery can be slow and painful. A lisfranc injury is an injury to the ligaments that connect the bones of the midfoot and forefoot. A lisfranc joint injury happens when you damage bones or connective tissue called ligaments in the middle part of your foot. The lisfranc joint complex, named for the french surgeon who first described it in the 1800s, includes the five metatarsal bones along with the tendons and ligaments. The midfoot section refers to the. The usual mechanism is a direct blow or an indirect twisting force the lisfranc joint complex consists of the 5 tarsometatarsal joints that connect the forefoot and midfoot. A lisfranc injury describes an injury of the foot between the metatarsal and tarsal spaces. A lisfranc injury happens when the ligaments or bones in the middle of your foot are fractured, sprained or dislocated.

Designing rehabilitation programmes for athletes with long term injuries is a lisfranc dislocation: If often requires surgery and can take three to six months to heal. The severity of the injury can vary from simple to complex, involving many joints. A lisfranc injury can happen in the blink of an eye and turn your world upside down. Recovery can be slow and painful.

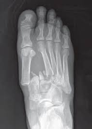
Lisfranc Injury Surgery Treatment Recovery Time
Lisfranc Injury Surgery Treatment Recovery Time from iwalk-free.com
These ligaments are injured when the foot gets twisted, and often occurs in sports when. Stable lisfranc injuries that do not require surgery may cause an athlete to miss 2 months or more of their season. Injuries to the lisfranc joint most commonly occur in automobile accident victims, military personnel, runners, horseback riders, football players and participants of other contact sports. Ebraheim's animated educational video describing lisfranc injury. A lisfranc injury happens when the ligaments or bones in the middle of your foot are fractured, sprained or dislocated. Physical exam findings, including deformity, swelling and. Lisfranc injury is an important topic. A lisfranc injury must be part of the differential for any midfoot trauma because of the significant morbidity associated with missed diagnosis.

Radiologists must have a thorough understanding of anatomy, mechanisms, and patterns of these injuries to diagnose and help.

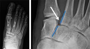
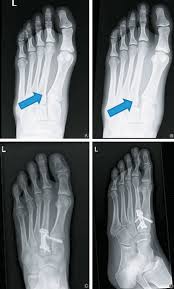
Radiologists must have a thorough understanding of anatomy, mechanisms, and patterns of these injuries to diagnose and help. A lisfranc injury, also known as a lisfranc fracture, happens when bones break or ligaments tear in the region in the middle of the feet. A lisfranc injury occurs when one or more of the metatarsal bones are displaced from the tarsus, which is a cluster of bones at the top of the foot, just below the ankle joint. However, most athletes are able to successfully. Stable lisfranc injuries that do not require surgery may cause an athlete to miss 2 months or more of their season. Lisfranc injuries are a spectrum of injuries to the tarsometatarsal joint complex of the midfoot. Lisfranc injury or midfoot injury that result if bones in the midfoot are broken or ligaments that support the midfoot are torn. • medial edge of 2nd mt base should line up with the medial edge of middle cuneiform. A lisfranc injury or lisfranc sprain is an injury to the ligaments in the middle part of the foot, called the midfoot. Lisfranc injury indicates disruption between. Recovery can be slow and painful. It can occur in one or both feet. Ebraheim's animated educational video describing lisfranc injury.

Lisfranc injuries in the athlete. Recovery can be slow and painful. Sometimes, the injury is a simple dislocation (ligament injury), and sometimes a broken bone occurs. If often requires surgery and can take three to six months to heal. These ligaments are injured when the foot gets twisted, and often occurs in sports when.

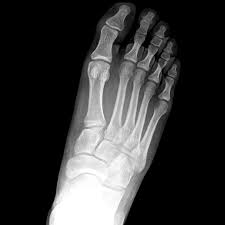
Lis Franc Injury Podiatry Orthopedics Physical Therapy
Lis Franc Injury Podiatry Orthopedics Physical Therapy from i.ytimg.com
Sometimes, the injury is a simple dislocation (ligament injury), and sometimes a broken bone occurs. Injuries to the lisfranc joint most commonly occur in automobile accident victims, military personnel, runners, horseback riders, football players and participants of other contact sports. It is possible to sprain the lisfranc ligament, which does not require surgical intervention. A lisfranc injury or lisfranc sprain is an injury to the ligaments in the middle part of the foot, called the midfoot. The midfoot section refers to the. A lisfranc injury is a significant injury that involves the midfoot. Ebraheim's animated educational video describing lisfranc injury. The lisfranc joint complex, named for the french surgeon who first described it in the 1800s, includes the five metatarsal bones along with the tendons and ligaments.

Lisfranc injuries in the athlete.

What is a lisfranc injury? Lisfranc injuries in the athlete. Wherever you are in your recovery, this is a place to share our stories, pics. Stable lisfranc injuries that do not require surgery may cause an athlete to miss 2 months or more of their season. A lisfranc injury, also known as a lisfranc fracture, happens when bones break or ligaments tear in the region in the middle of the feet. The usual mechanism is a direct blow or an indirect twisting force the lisfranc joint complex consists of the 5 tarsometatarsal joints that connect the forefoot and midfoot. Designing rehabilitation programmes for athletes with long term injuries is a lisfranc dislocation: These ligaments are injured when the foot gets twisted, and often occurs in sports when. A lisfranc injury, also referred to as a midfoot injury, occurs when the bones in the midfoot are broken or ligaments that support the midfoot. • medial edge of 2nd mt base should line up with the medial edge of middle cuneiform. Radiologists must have a thorough understanding of anatomy, mechanisms, and patterns of these injuries to diagnose and help. A lisfranc injury, also known as lisfranc fracture, is an injury of the foot in which one or more of the metatarsal bones are displaced from the tarsus. The injury was named after him because it was commonly caused by a soldier falling off his horse while having his boot still stuck in the stirrup.